go back to the index page

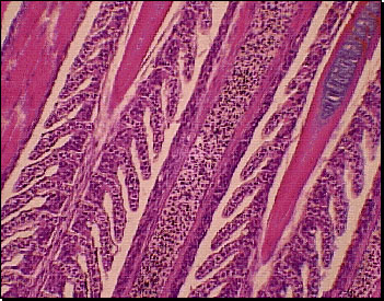
Gill structure

gill lamellae cartilagegill plate (secondary lamella)

go back to linking page

The gill has many gill lamellae. The gill lamellae are supported by cartilage.